CASE REPORT
CASE REPORT
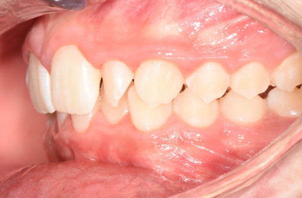
A 14-year-old male patient presented with a Class II sub-division 2 malocclusion with significant maxillary and mandibular crowding. The facial profile was convex with a slightly retrusive mandible, tendency to deep bite. Normal upper and lower first incisor inclination was measured, protruded upper and lower lip were noted. A constricted arch form with tapered buccal segments resulted in poor smile width and dark buccal corridors. Along with a reverse smile arc due to insufficient incisor eruption, this resulted in poor smile aesthetics.
Dr. Steinhof, from Saint Lucas SPA Dental, is a smile expert, giving patients confidence in health and aesthetics. His work is led by precision and perfection. His priority is to give patients a full picture of their orthodontic treatment.
He outlines different alternatives to help patients make a well-thought-out decision. During the treatment he focuses on making every procedure less painful and the time you need to make chair-time in chair short yet effective.
He has specialized in treating orthodontic and temporomandibular joint problems. He has knowledge of and applies many different techniques for orthodontic treatments, while paying special attention to facial harmony and the protection of mandibular joints.
He regularly attends international and Hungarian conferences and courses. Since 2012 he has been teaching orthodontists about the system of passive self-ligating devices, and their potential application.

The objectives were to create space while maintaining maxillary incisor position, improve the smile arc by erupting incisors, and develop the posterior segments for increased arch length, as well as improved smile width. Resolving crowding through arch development with proper torque control was a key objective, since incisor advancement and increased angulation would damage smile aesthetic and would result in a more pronounced lip. A non-extraction plan was chosen using Damon Ultima PSL System with Ultima wires, along with the use of anterior bite turbos and light elastics for early deep bite and Class II correction.
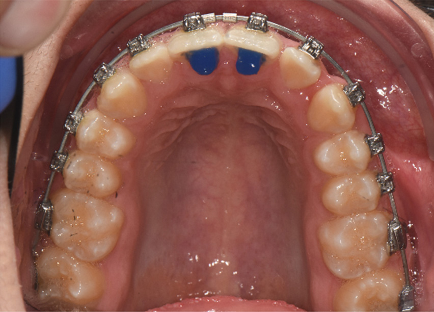
Variable torque Damon Ultima brackets were chosen for this case. Neutral torque on U2-2 & L1 & L3, proclined torque on U3, retroclined torque on L2 due to crowding and objective of torque control. All permanent teeth were bonded, the bite was disarticulated. The U2-2 brackets were positioned vertically higher to improve the smile arc.
Initial wires U 0.014 CuNiTi Ultima and L 0.013 CuNiTi Ultima were ligated without the second molars. On U2’s buttons were bonded with indirect ligation to half bracket width coil spring. We bonded anterior bite turbos on U1’s.
After one month we started using 2 oz. 3/16 Class 2 from the U3’s to the L5’s full-time. Coil spring by U2’s was ½ bracket width activated with an active rotation effect. After 2 months we could bond U2’s neutral torque brackets. Wires were changed four weeks later to 0.018 CuNiTi Ultima U/L, and we stopped using elastics. After 4 months in treatment wires were changed to 0.014 x 0.0275 CuNiTi Ultima U/L extending to the U/ L7’s.
Observations: At the end of phase 1, most of the rotations had been corrected and arch development was progressing well. The crowding had been resolved and spaces were visible due to arch development with the first rectangular wire. Additionally, primary torque control was observed. The time frame of these changes was six months.
During this phase, the wires were changed to 0.018 x 0.0275 CuNiTi Ultima U/L. Tie-back elastic used between 6s and crimpable hooks to avoid space opening and the elastics were changed to night-time vertical frontal elastics to help with the eruption of the maxillary incisors. For this, the anterior bite turbos were removed and the disarticulation was moved to the posterior area, on U7s. A few brackets were repositioned after panoramic x-ray control.
Observations: Arch form was really improved in both shape and width. The variable torques allowed the Ultima wires to express the deflection and the torque changes were very close to the final goals. The time frame was 3 months.
The finishing wires were 0.018 x 0.0275 TMA Ultima upper and 0.018 x 0.0275 TMA Ultima lower. The patient was seen on four-week intervals for shaping of wires and slight bends on UL6 and U2’s, followed by Class 2 and front elastics to help with closure on occlusion.
The retention plan included fixed retainer U2-2 and L3-3 and U/L Essix retainers. We recommended the removal of the wisdom tooth.
Observations: The finishing phase of this case was quite simple due to very few adjustments required to be made to the wires. By resolving rotations and axial inclination early, along with torque expression through the Ultima wire range, the teeth made their way to the final position faster. The time frame was 2,5 months.
This case is an overview of the results of using variable torques with Damon Ultima PSL to correct a deep bite with significant crowding malocclusion along with substantial arch development
Maxillary incisor position and angulation were maintained due to significant posterior arch development and anterior excellent torque control. Overall, the patient was extremely cooperative with using of elastics from the beginning to the end of treatment, but in terms of oral hygiene, there were many problems. From a clinical efficiency standpoint, the patient had 11 treatment visits and was completed in 12 months.
After reviewing this case, proper selection of variable torque would have helped achieve the final position with efficiency: today we do not use neutral torque anymore to get perfect torque control. Since this case was part of a study, he was seen on four-week intervals. If this was treated without the four-week protocol, we could have reduced the number of visits to 8. In order to achieve a better smile display, switch from anterior to posterior disarticulation has to be sooner.

The Ultima bracket slot is a parallelogram-shaped slot and fits with the Ultima wire – a rectangular wire with round wire edge – to deliver direct engagement at vertical and horizontal contact points. This design virtually eliminates play, resulting in precise control of rotation, angulation, and torque.
The Damon Ultima bracket and archwire system have greatly enhanced control in the first-order dimension beginning with the 0.014” x 0.0275” wire stage of treatment. The great efficiency of the round-sided, rectangular 0.018” x 0.0275” Damon Ultima archwires and the parallelogram slot of the Damon Ultima brackets on third-order torque control was also observable.
Achieving first-order control earlier in the treatment and having proper torque control with second rectangular wire increases clinical efficiency, and has the potential to reduce treatment time in patients treated with this PSL fixed appliance.
MKT-24-0805
* Dr. Steinhof is a paid consultant for Ormco. The opinions expressed are those of Dr. Steinhof. Ormco is a medical device manufacturer and does not dispense medical advice. Clinicians should use their own professional judgment intreating their patients.