CASE REPORT
CASE REPORT
Studied Dentistry at the University of the Basque Country (UPV/EHU) and a Masters in Orthodontics and Dentofacial Orthopedics at the University of Oviedo.

A 27-year-old male patient presented to the orthodontic practice after being referred by his general dentist. His primary concern was improving masticatory function. The patient had no notable medical history, nor had he received prior orthodontic treatment.
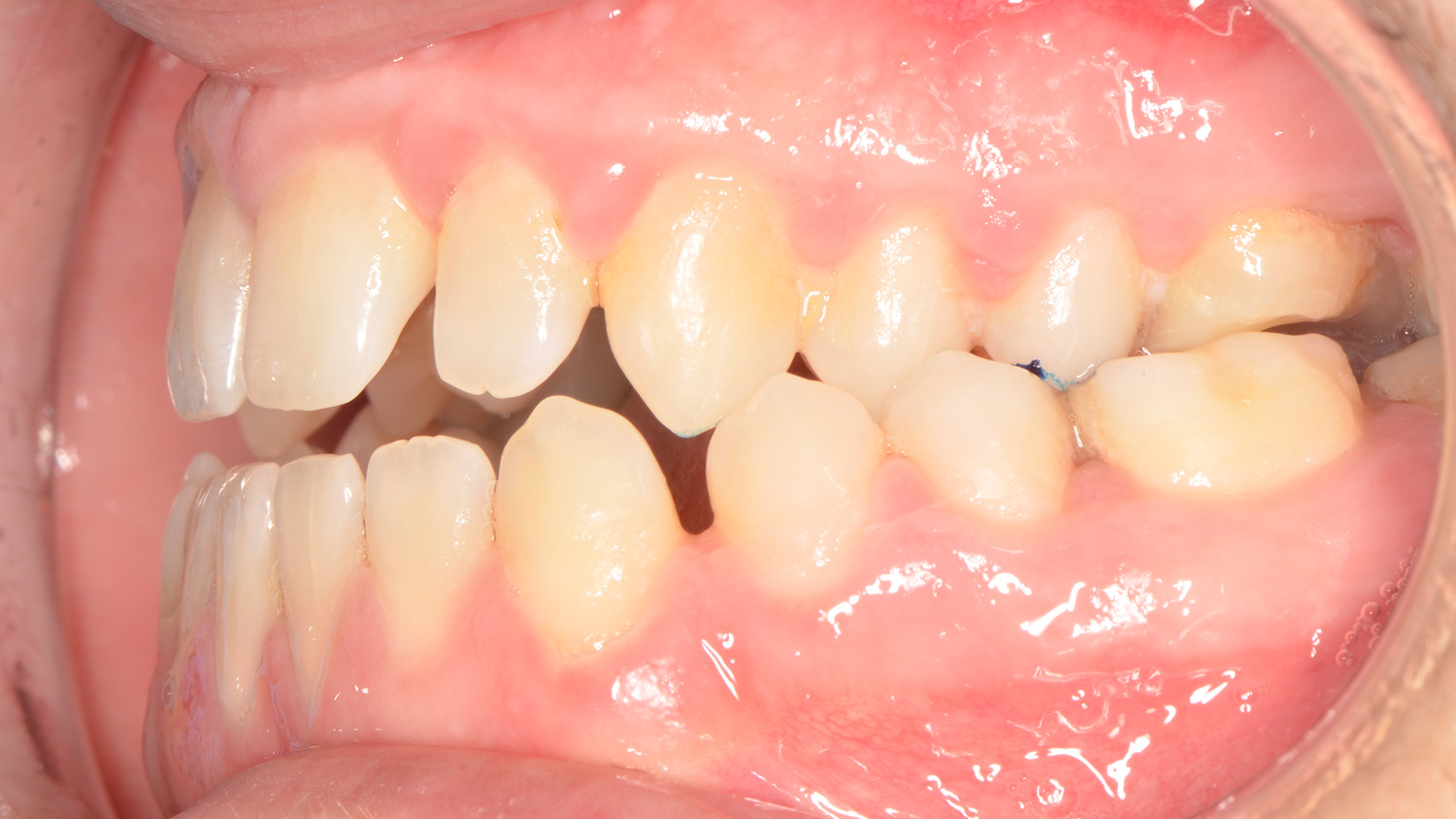
Extraoral analysis revealed a facial biotype consistent with a Class III malocclusion, maxillary compression, a gingival smile, mandibular asymmetry with deviation, and a dolichofacial pattern.
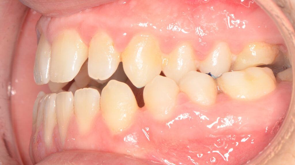
Intraoral examination showed an Angle Class III relationship on both sides, along with an anterior open bite. Additionally, a narrow maxilla with a bilateral posterior crossbite was observed.
The patient was informed of various treatment options, including combined orthognathic surgery and orthodontic appliances. However, he opted against surgery. Consequently, a compensatory orthodontic treatment plan using MARPE (Mini-Implant Assisted Rapid Palatal Expander) and Spark Aligners was chosen, after the extraction of the existing third molars and treatment of the cavities.
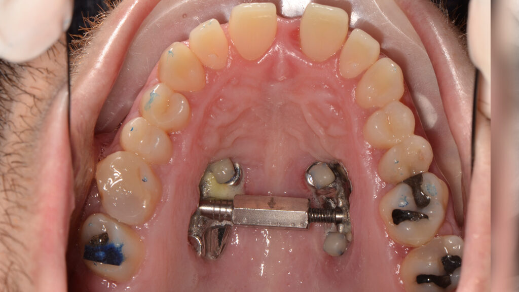
The primary goal of the treatment was to correct the transverse deficiency of the maxillary arch (>5 mm) and resolve the skeletal crossbite. MARPE was used to address this transverse issue.
Once the transverse discrepancy was corrected, treatment continued with Spark Aligners to address the vertical plane. The planned vertical correction involved extruding the upper anterior teeth, with 1.7 mm of extrusion in the upper arch, and 1.5 mm in the lower arch using attachments. To assist in bite closure, turbo bites were employed to intrude the mandibular molars.
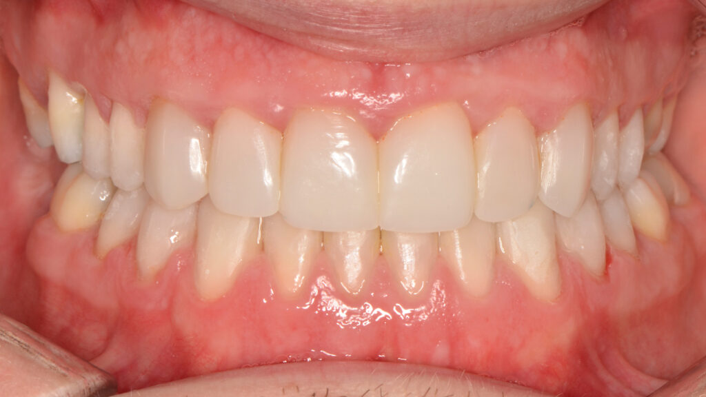
As shown in the accompanying images, the planned vertical correction was fully achieved. At this stage, provisional composite veneers were placed from canine to canine in the upper arch to enhance the patient’s aesthetics and compensate for Bolton’s discrepancy.
For sagittal correction, a new set of aligners made from Trugen XR™ material was fabricated. The corono-distal tipping of the premolars in the fourth quadrant was corrected using intermaxillary elastics.
Ultimately, we successfully corrected the crossbite, open bite, and Class III canine relationship. The patient rehabilitated tooth #26 with an on lay and tooth #47 with an implant, resulting in a stable occlusion. Post-treatment retention involved a fixed retainer in the lower arch and removable retainers for both upper and lower arches to maintain the treatment results.
Today’s patients often seek aesthetic treatment options. Clear aligners, such as the Spark Clear Aligner system, offer both functional and aesthetic results. However, a motivated and compliant patient is crucial for the success of this approach. In our clinic, we have found that the Spark Clear Aligner system provides a highly effective alternative for orthodontic treatment, delivering predictable and reliable outcomes.
* Dr. Nerea Frances is a paid consultant for Ormco. The opinions expressed are those of Dr. Nerea Frances. Ormco is a medical device manufacturer and does not dispense medical advice. Clinicians should use their own professional judgment in treating their patients.