CASE REPORT
CASE REPORT
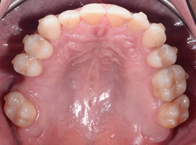
In this orthodontic case, Dr. Timpu-Dascalu addressed an anterior crossbite, a misalignment that can lead to functional issues and aesthetic concerns.
Dr. Aida Timpu-Dascalu*, Romania
Dr. Aida Timpu-Dascalu earned her dental degree at the University of Medicine and Pharmacy Victor Babeş in Timisoara, Romania. She later specialized in orthodontics at the same university. Dr. Timpu-Dascalu is a visionary dental professional whose dedication to the art and science of orthodontics is unmistakable. Grounded in the precise language of biomechanics, her approach to tooth movement transcends routine treatment, blending scientific rigor with an aesthetic sensibility. Passionate about clear aligner therapy, she continually refines her skills through various courses locally and internationally.

The patient was offered the choice between traditional brackets and wires or Spark aligners, and opted for the Spark aligners, after being presented with the advantages and disadvantages of each.
To correct the anterior cross-bite, the doctor utilized a comprehensive approach focusing on biomechanics to ensure precise tooth movement. This approach allowed her to achieve a stable and functional occlusion, improving both the patient’s bite and smile.
This case exemplifies how Spark aligners together with a methodical planning and a refined artistic touch, can work together to transform a compromised smile into one of balance and elegance.
The treatment focused on correcting the anterior crossbite while simultaneously addressing both transversal and sagittal discrepancies. The primary goals were to expand both the upper and lower arches, derotate the molars, and address the uncontrolled tipping of tooth 12. Spark 20 package was selected to achieve the orthodontic goals. The treatment plan was meticulously developed using Spark’s Approver software.



Following the primary phase, a detailed refinement stage was initiated again on Spark’s Approver software to achieve a stable and functional occlusion. During this phase, further adjustments were made to improve the vertical dimensions of the lateral segments and correct the torque of both upper and lower incisors. Specific instructions included:
These final adjustments not only stabilized the occlusion but also elevated the overall esthetic outcome, underscoring the perfect synergy of scientific precision and artistic vision in modern orthodontic treatment.
The refinement plan consisted of 17 active aligners in the upper arch and 11 active aligners in the lower arch.
The successful correction of the anterior crossbite in just under 10 months underlines the effectiveness of Spark clear aligner system. This outcome was achieved through a well-conceived biomechanical approach, leveraging the doctor’s extensive knowledge and passion for biomechanics. Spark aligners proved to be the optimal choice, facilitating precise and efficient treatment.
* Dr. Aida Timpu-Dascalu is a paid consultants for Ormco. The opinions expressed are those of Dr. Aida Timpu-Dascalu. Ormco is amedical device manufacturer and does not dispense medical advice. Clinicians should use their own professional judgment intreating their patients.
MKT-25-0556