CASE REPORT
CASE REPORT
This article describes a treatment with Spark Clear Aligners in a 14 year-old patient, with moderate DDM (Dento-Maxillary Disharmony), narrow arches, biproalveoli and hyperdivergence of the bony bases.
Passionate about orthodontics, Pierre-Antoine Dian invests a lot in his profession by trying to stay updated with all the new technological advances. He directs his practice of orthodontics towards efficiency, simplification of treatments and shortening of treatment times.

First, the treatment protocol was the transverse development of the arches (>2mm) in order to correct the DDM (Dento-maxillary disharmony) with the following protocol:
In addition, button cut-outs at 36 , 46 and hooks at 13 , 23 have been placed in order to wear Class II elastics (Bear 4.5 Oz 1/4’’). A 1 mm antero-posterior jump was prescribed to simulate the patient‘s mandibular growth. Dr. Dian opted for a Spark 20 with 20 active aligners and TruGEN™ as material.
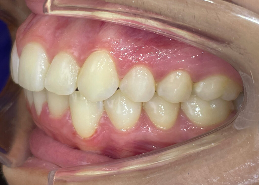
We note from the photos that the extrusion of 2.2 was not fully expressed at the end of the first series of treatment despite the placement of a beveled gingival attachment.
Since the extrusion movement on the upper lateral incisors “teeth with very little retentive due to their small size” is one of the most difficult movements to perform. For this, Dr. Pierre-Antoine Dian advises in this case to opt for the “Hamac” technique during the refinement phase.
This technique began two weeks before the end of the treatment and it consists of placing double buccal and palatal buttons on the tooth concerned after having previously cutouts on the aligner and attaching an elastic in „Hamac“ (Impala 6 Oz, 3/ 16‘‘) to help with extrusion and improve the fit of the tooth in the aligner (see photos below). The refinement required 7 active aligners with TruGEN XR™ as material.
N.B : Class II elastics
continued to be worn during
the refinement phase to play
on the patient‘s growth
potential.
At the end of the treatment, which means only 8 months later, the control cephalometric analysis shows an improvement in the incisor axes despite the correction of a moderate DDM.
The Spark Aligners therefore enabled Dr. Pierre Antoine-Dian to obtain a good expansion of the arches, perfect torque control and resolution of the anterior crowding thanks to the protocols used and the predictability of the movements as well as the flexibility provided by Approver Software.
* Dr. Pierre-Antoine Dian is a paid consultant for Ormco. The opinions expressed are those of Dr. Pierre-Antoine Dian. Ormco is a medical device manufacturer and does not dispense medical advice. Clinicians should use their own professional judgment in treating their patients.